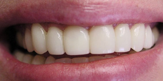
All Porcelain Crowns

Before

After
All Porcelain Bridges

Before

After
Fixed Bridge Over Implants

Before

After
Porcelain Crowns to Gold

Before

After
Implant Crowns

Before

After
Veneers

Before

After
Peg Laterals All Porcelain Crowns

Before
